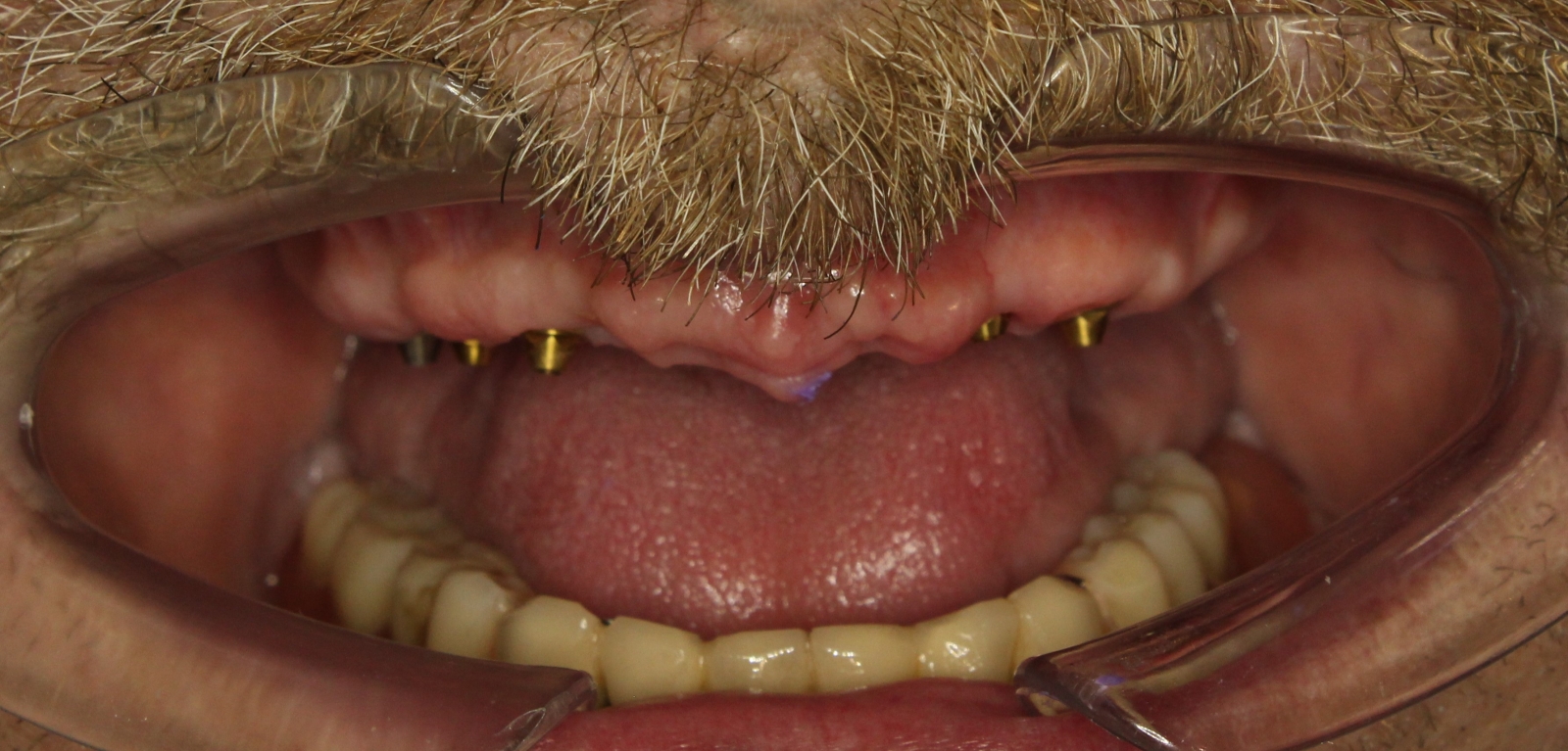
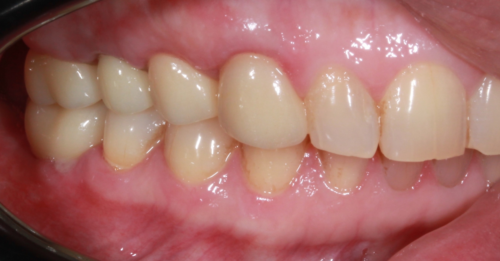
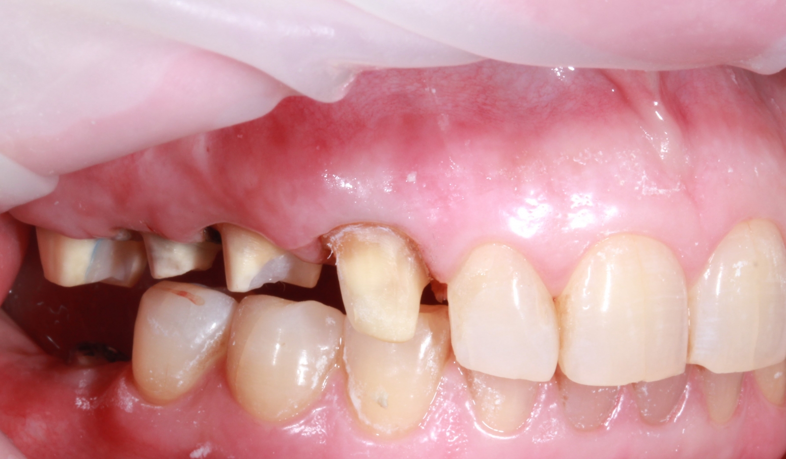
До/после
Мечта исполнена, настоящая голливудская улыбка. Отдельная благодарность Савенкову Николаю, за исполнение мечты и такую тонкую и филигранную работу. Виниры - это было лучшим решением для моих зубов, я ни на минуточку в этом не усомнилась, выбирала врача я долго и изучала все работы, до сих пор если бы была возможность повторно выбирать, я бы ничего не поменяла) Еще раз спасибо, что помогаете быть здоровее и красивее.


Обратился в стоматологию "Озеро" с желанием улучшить внешний вид своей улыбки. Хотел сделать её более красивой и презентабельной. Вначале были небольшие переживания по поводу возможной боли, но врач всё подробно объяснил и развеял мои страхи. Процесс лечения прошёл на высшем уровне — было настолько комфортно, что я даже не заметил, как у меня появилась новая улыбка. Теперь я уверен в своей внешности и очень доволен результатом. Спасибо профессионализму команды!





